切换至 "中华医学电子期刊资源库"

中华诊断学电子杂志 ›› 2022, Vol. 10 ›› Issue (04) : 270 -273. doi: 10.3877/cma.j.issn.2095-655X.2022.04.011

病例诊断思维

朗格汉斯细胞组织细胞增生症临床病理特征分析
李道胜1,(), 班媛媛2, 刘双3   
  1. 1. 27100 泰安市中心医院病理科
    2. 27100 泰安市中心医院老年病一科
    3. 27100 泰安市中心医院血液内科
  • 收稿日期:2021-11-02 出版日期:2022-11-25
  • 通信作者: 李道胜

Clinicopathological characteristics of Langerhans cell histiocytosis

Daosheng Li1,(), Yuanyuan Ban2, Shuang Liu3   

  1. 1. Department of Pathology, Taian City Center Hospital, Taian 271000, China
    2. Department of Gerontology, Taian City Center Hospital, Taian 271000, China
    3. Department of Hematology, Taian City Center Hospital, Taian 271000, China
  • Received:2021-11-02 Published:2022-11-25
  • Corresponding author: Daosheng Li
引用本文:

李道胜, 班媛媛, 刘双. 朗格汉斯细胞组织细胞增生症临床病理特征分析[J/OL]. 中华诊断学电子杂志, 2022, 10(04): 270-273.

Daosheng Li, Yuanyuan Ban, Shuang Liu. Clinicopathological characteristics of Langerhans cell histiocytosis[J/OL]. Chinese Journal of Diagnostics(Electronic Edition), 2022, 10(04): 270-273.

目的

探讨朗格汉斯细胞组织细胞增生症的临床病理特征。

方法

回顾性分析2016年1月至2021年9月泰安市中心医院病理科确诊的5例朗格汉斯细胞组织细胞增生症患者的临床资料,分析其病理形态学特点及免疫表型。

结果

男性2例,女性3例;3例累及骨组织,1例累及腭部软组织,1例累及淋巴结;形态学均表现为肿瘤细胞呈圆形或卵圆形,有核沟,细胞质轻度嗜酸性,背景为数量不等的嗜酸性粒细胞、组织细胞、小淋巴细胞及中性粒细胞。免疫表型方面,肿瘤细胞一致性表达CD4、CD1α及S-100。

结论

朗格汉斯细胞组织细胞增生症是一种少见的朗格汉斯细胞克隆性增生性病变,免疫组织化学表达稳定,选择合适的免疫组织化学抗体并结合病理形态学特征方能正确诊断。

Objective

To explore the clinicopathological features of Langerhans cell histiocytosis(LCH).

Methods

The clinical data of 5 LCH patients who were diagnosed from January 2016 to September 2021 in the Pathology Department at Taian City Center Hospital were analyzed retrospectively, and the pathological characteristics and immunophenotype were analyzed.

Results

There were 2 males and 3 females patients. Three cases involved bone, 1 case involved oral soft tissue, and 1 case involved the lymph node. The tumor cells had a round or oval shape with a nucleated sulcus, and a weakly eosinophilic cytoplasm, with varied amounts of neutrophils, histiocytes, tiny lymphocytes, and eosinophils in the background. Tumor cells consistently expressed CD4, CD1α and S-100 according to their immunophenotype.

Conclusions

LCH, a rare Langerhans cell proliferative lesion, has a stable immunohistochemistry expression. By choosing the proper immunohistochemistry antibody and combining it with pathomorphological markers, the correct diagnosis can be obtained.

表1 5例朗格汉斯细胞组织细胞增生症患者临床特征及影像学表现
图1 病例2朗格汉斯细胞组织细胞增生症患者影像学检查图像注:a图为患者右股骨X线正侧位片,示右侧股骨上段局部髓腔骨密度不均,骨质破坏,边缘欠清,未见明显硬化边,骨皮质破坏,局部变薄缺损,周围见层状骨膜反应(箭头所示);b图为患者头颅磁共振成像图像,示垂体柄增粗,局部直径约5 mm(箭头所示)
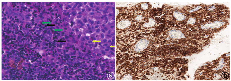
图2 病例2朗格汉斯细胞组织细胞增生症患者病理学图像注:a图示光镜下见肿瘤细胞呈圆或卵圆形,约2个淋巴细胞大小,核呈折叠状、凹陷、分叶状,常有核沟(黄色箭头),染色质细腻,核仁不明显;细胞质中等丰富,轻度嗜酸性,肿瘤周围见淋巴细胞(黑色箭头)、嗜酸性粒细胞(绿色箭头)等炎细胞浸润(HE ×200);b图示患者免疫组织化学染色CD1α阳性,细胞质染成棕褐色(SP ×200)
[1]
Kobayashi M, Tojo A. Langerhans cell histiocytosis in adults:advances in pathophysiology and treatment[J].Cancer Sci2018109(12):3707-3713.DOI:10.1111/cas.13817.
[2]
Haupt R, Minkov M, Astigarraga I,et al.Langerhans cell histiocytosis(LCH):guidelines for diagnosis,clinical work-up,and treatment for patients till the age of 18 years[J].Pediatr Blood Cancer201360(2):175-184.DOI:10.1002/pbc.24367.
[3]
Monsereenusorn C, Rodriguez-Galindo C.Clinical characteristics and treatment of Langerhans cell histiocytosis[J].Review Hematol Oncol Clin North Am201529(5):853-873.DOI:10.1016/j.hoc.2015.06.005.
[4]
马云秀,李东海.朗格汉斯细胞组织细胞增生症1例并文献复习[J].现代肿瘤医学202129(18):3276-3279.DOI:10.3969/J.ISSN1672-4992.2021.18.030.
[5]
Garg D, Pedapati R, Nakra T.Langerhans cell histiocytosis presenting as a rapidly evolving frontotemporal syndrome[J].Neurol Sci201940(5):1055-1058.DOI:10.1007/s10072-019-3709-y.
[6]
刘春平,陈朱城,顾莹莹.肺朗格汉斯细胞组织细胞增生症14例临床病理特征[J].临床与实验病理学杂志202137(7):848-851.DOI:10.13315/j.cnki.cjcep.2021.07.020.
[7]
Radojkovic D, Pesic M, Dimic D. Localised Langerhans cell histiocytosis of the hypothalamic-pituitary region:case report and literature review[J].Hormones (Athens)201817(1):119-125.DOI:10.1007/s42000-018-0024-6.
[8]
Krooks J, Minkov M, Weatherall AG.Langerhans cell histiocytosis in children:history,classification,pathobiology,clinical manifestations,and prognosis[J].Review J Am Acad Dermatol201878(6):1035-1044.DOI:10.1016/j.jaad.2017.05.059.
[9]
Hamdan M, Qiao JC, Fikfak V.Adult-onset perianal Langerhans cell histiocytosis presenting as pruritus ani: a case report and review of the literature[J].J Med Case Rep202115(1):357.DOI:10.1186/s13256-021-02924-0.
[10]
Erker C, Harker-Murray P, Talano JA.Usual and unusual manifestations of familial hemophagocytic lymphohistiocytosis and Langerhans cell histiocytosis[J].Pediatr Clin North Am201764(1):91-109.DOI:10.1016/j.pcl.2016.08.006.
[11]
Elia D, Torre O, Cassandro R.Pulmonary Langerhans cell histiocytosis:a comprehensive analysis of 40 patients and literature review[J].Eur J Intern Med201526(5):351-356.DOI: 10.1016/j.ejim.2015.04.001.
[12]
姚兴凤,王响,王琳,等.儿童朗格汉斯细胞组织细胞增生症345例临床病理和超微结构[J].中华病理学杂志201948(1):17-21.DOI: 10.3760/cma.j.issn.0529-5807.2019.01.004.
[13]
Picarsic J, Jaffe R. Nosology and pathology of Langerhans cell histiocytosis[J].Hematol Oncol Clin North Am201529(5):799-823.DOI: 10.1016/j.hoc.2015.06.001.
[14]
许伟伟,樊峰,曹丹,等.朗格汉斯细胞组织细胞增生症2例临床病理及基因分析[J].临床与实验病理学杂志201935(8):959-961.DOI:10.13315/j.cnki.cjcep.2019.08.019.
[15]
Obiorah IE, Velasquez AH, Kallakury B.Primary Langerhans cell histiocytosis of the extrahepatic bile duct occurring in an adult patient[J].Balkan Med J201835(6):437-439.DOI:10.4274/balkanmedj.2017.1730.
[16]
岳筱,雷如意,刘景荣,等.组织细胞坏死性淋巴结炎并系统性红斑狼疮的诊断学特征[J/CD].中华诊断学电子杂志20219(1):5-8.DOI: 10.3877/cma.j.issn.2095-655X.2021.01.002.
[17]
Abla O, Rollins B, Ladisch S. Langerhans cell histiocytosis:progress and controversies[J].Br J Haematol2019187(5):559-562.DOI: 10.1111/bjh.16099.Epub 2019 Jul 15.
[18]
谢曼,管雯斌,王瑞芬,等.儿童朗格汉斯细胞组织细胞增生症中BRAF V600E的表达及临床意义[J].中华病理学杂志202049(7):733-735.DOI:10.3760/cma.j.cn112151-20200215-00102.
[19]
Jouenne F, Benattia A, Tazi A.Mitogen-activating protein kinase pathway alterations in Langerhans cell histiocytosis[J].Curr Opin Oncol202133(2):101-109.DOI:10.1097/CCO.0000000000000707.
[20]
Lian C, Lu Y, Shen S.Langerhans cell histiocytosis in adults:a case report and review of the literature[J].Oncotarget20167(14):18678-18683.DOI:10.18632/oncotarget.7892.
[1] 赵阳, 肖迎聪, 巨艳, 党晓智, 蔡林利, 薛文欣, 李洋, 肖瑶, 郭妤绮, 宋宏萍. 自动乳腺超声联合免疫组化早期预测乳腺癌新辅助化疗病理完全缓解的临床价值[J/OL]. 中华医学超声杂志(电子版), 2024, 21(04): 361-369.
[2] 武壮壮, 张晓娟, 史泽洪, 史瑶, 原韶玲. 超声联合乳腺X线摄影及PR、Her-2预测高级别与中低级别乳腺导管原位癌的价值[J/OL]. 中华医学超声杂志(电子版), 2023, 20(06): 631-635.
[3] 贺媛媛, 李佳, 杨红. 宫颈中肾腺癌1例并文献复习[J/OL]. 中华妇幼临床医学杂志(电子版), 2024, 20(01): 97-104.
[4] 韩春颖, 王婷婷, 李艳艳, 朴金霞. 子宫内膜癌患者淋巴管间隙浸润预测因素研究现状[J/OL]. 中华妇幼临床医学杂志(电子版), 2023, 19(04): 403-409.
[5] 陈怡芳, 黄晓卉. 肝细胞癌中对氧磷酶2的表达及临床意义[J/OL]. 中华普通外科学文献(电子版), 2024, 18(03): 186-191.
[6] 刘政宏, 王凤力, 吉亚君, 高佳. 胃癌中ELK3蛋白的表达与临床病理特征和预后的关系研究[J/OL]. 中华普外科手术学杂志(电子版), 2024, 18(02): 155-159.
[7] 熊鹰, 林敬莱, 白奇, 郭剑明, 王烁. 肾癌自动化病理诊断:AI离临床还有多远?[J/OL]. 中华腔镜泌尿外科杂志(电子版), 2024, 18(06): 535-540.
[8] 张庭秀, 胡绳, 滕悦, 马李杰, 肖贞良. 成人肺朗格汉斯细胞组织细胞增生症并文献复习[J/OL]. 中华肺部疾病杂志(电子版), 2024, 17(02): 238-241.
[9] 何宗杰, 白辰光, 高显华, 张卫. 幼年性息肉病的临床病理学特征及研究进展[J/OL]. 中华结直肠疾病电子杂志, 2024, 13(01): 21-25.
[10] 王素霞. IgA肾病的病理诊断与鉴别诊断[J/OL]. 中华肾病研究电子杂志, 2024, 13(02): 120-120.
[11] 周良辅. 爆炸性颅脑创伤的诊治[J/OL]. 中华神经创伤外科电子杂志, 2024, 10(03): 129-131.
[12] 谭瑞义. 小细胞骨肉瘤诊断及治疗研究现状与进展[J/OL]. 中华临床医师杂志(电子版), 2024, 18(08): 781-784.
[13] 岳瑞雪, 孔令欣, 郝鑫, 杨进强, 韩猛, 崔国忠, 王建军, 张志生, 孔凡庭, 张维, 何文博, 李现桥, 周新平, 徐东宏, 胡崇珠. 乳腺癌HER2蛋白表达水平预测新辅助治疗疗效的真实世界研究[J/OL]. 中华临床医师杂志(电子版), 2023, 17(07): 765-770.
[14] 侯敏, 赵宛鄂, 高丽莲, 林清然, 杨华. 肥胖相关性肾小球病与减重手术:临床表现、诊断与治疗[J/OL]. 中华肥胖与代谢病电子杂志, 2023, 09(04): 280-285.
[15] 金安松, 邹玉松, 刘玖涛, 薛凤麟, 庞爱兰. 孤立性颅内浆细胞瘤一例及相关文献复习[J/OL]. 中华脑血管病杂志(电子版), 2024, 18(05): 495-500.
阅读次数
全文


摘要


AI


AI小编
你好!我是《中华医学电子期刊资源库》AI小编,有什么可以帮您的吗?