切换至 "中华医学电子期刊资源库"

中华诊断学电子杂志 ›› 2026, Vol. 14 ›› Issue (01) : 53 -58. doi: 10.3877/cma.j.issn.2095-655X.2026.01.008

病例诊断思维

甲亢危象并严重粒细胞缺乏合并药物性狼疮一例
王姗姗, 焦培林, 宋淑敏, 余玲, 饶小娟, 史双伟, 解丽然, 赵明明, 郭振红, 桑艳红()   
  1. 450052 郑州大学第五附属医院内分泌科
  • 收稿日期:2025-12-06 出版日期:2026-02-26
  • 通信作者: 桑艳红
  • 基金资助:
    2022年度河南省医学科技攻关计划联合共建项目(LHGJ20220558)

A case of hyperthyroidism crisis with severe agranulocytosis and drug-induced lupus

Shanshan Wang, Peilin Jiao, Shumin Song, Ling Yu, Xiaojuan Rao, Shuangwei Shi, Liran Xie, Mingming Zhao, Zhenhong Guo, Yanhong Sang()   

  1. Department of Endocrinology, the Fifth Affiliated Hospital of Zhengzhou University, Zhengzhou 450052, China
  • Received:2025-12-06 Published:2026-02-26
  • Corresponding author: Yanhong Sang
引用本文:

王姗姗, 焦培林, 宋淑敏, 余玲, 饶小娟, 史双伟, 解丽然, 赵明明, 郭振红, 桑艳红. 甲亢危象并严重粒细胞缺乏合并药物性狼疮一例[J/OL]. 中华诊断学电子杂志, 2026, 14(01): 53-58.

Shanshan Wang, Peilin Jiao, Shumin Song, Ling Yu, Xiaojuan Rao, Shuangwei Shi, Liran Xie, Mingming Zhao, Zhenhong Guo, Yanhong Sang. A case of hyperthyroidism crisis with severe agranulocytosis and drug-induced lupus[J/OL]. Chinese Journal of Diagnostics(Electronic Edition), 2026, 14(01): 53-58.

目的

探讨毒性弥漫性甲状腺肿(GD)合并桥本甲状腺炎,并在病程中叠加甲巯咪唑致粒细胞缺乏、甲状腺危象及药物性狼疮(DILE)的临床特征与干预策略。

方法

回顾性分析2024年12月1日郑州大学第五附属医院内分泌科收治的1例33岁甲亢危象并严重粒细胞缺乏合并药物性狼疮女性患者的临床表现、实验室检查及治疗经过。

结果

患者33岁,初诊时甲状腺功能显著亢进,游离三碘甲状腺原氨酸(16.23 pmol/L)、游离甲状腺素(45.38 pmol/L)水平升高,促甲状腺激素水平低下(0.006 U/L),促甲状腺激素受体抗体及甲状腺过氧化物酶抗体阳性,甲状腺摄碘率增高(2 h 49.40%,6 h 80.90%,24 h 94.10%)。超声提示甲状腺轻度肿大、实质回声弥漫性减低不均且血流稍丰富,符合GD病合并桥本甲状腺炎表现,且伴粒细胞减少。予以甲巯咪唑治疗后,患者出现骨髓抑制(表现为粒细胞缺乏、红细胞及血小板减少),继发急性化脓性扁桃体炎,并诱发甲亢危象(BWPS评分45分)。骨髓活检提示造血组织增生低下,关键免疫学检查发现抗核抗体(≥1∶160)及抗Sm抗体阳性,考虑DILE所致血液系统损害。停用甲巯咪唑,经积极抗感染,应用重组人粒细胞刺激因子、糖皮质激素、免疫抑制剂及后续碘-131治疗后,患者感染控制,血常规逐渐恢复正常。甲状腺功能于碘-131治疗后转为亚临床甲减,补充左甲状腺素钠片后恢复正常。患者DILE相关指标(抗核抗体滴度)下降,糖皮质激素及免疫抑制剂用量减少,病情稳定。

结论

抗甲状腺药物(如甲巯咪唑)可能引发包括DILE在内的自身免疫反应,临床在诊治甲亢合并血细胞异常时,应及时筛查继发性免疫异常,以实现早期识别与干预。

Objective

To explore the clinical characteristics and management strategies of Graves disease (GD) complicated with concurrent Hashimoto′s thyroiditis, and the occurrence of agranulocytosis, thyroid storm, and drug-induced lupus erythematosus (DILE) during the course of treatment with methimazole.

Methods

A retrospective analysis was conducted on a 33-year-old woman admitted to the Department of Endocrinology, the Fifth Affiliated Hospital of Zhengzhou University with a thyroid storm complicated by severe granulocytopenia and DILE. Her comprehensive clinical presentation, laboratory evaluations, and therapeutic management were reviewed.

Results

The patient, a 33-year-old woman, presented with significant hyperthyroidism at initial diagnosis, characterized by elevated levels of free triiodothyronine (FT3) (16.23 pmol/L) and free thyroxine (FT4) (45.38 pmol/L), decreased thyroid-stimulating hormone (TSH) levels (0.006 U/L), positive thyrotropin receptor antibody (TRAb) and thyroid peroxidase antibody (TPOAb), and increased thyroid iodine uptake (2 h 49.40%, 6 h 80.90%, 24 h 94.10%). Ultrasonography revealed a mildly enlarged thyroid with diffuse heterogeneous hypoechogenicity and slightly increased vascularity, consistent with the clinical presentation of GD complicated by HT, accompanied by granulocytopenia. Methimazole therapy induced myelosuppression (characterized by agranulocytosis, anemia, and thrombocytopenia), leading to secondary acute suppurative tonsillitis and triggering a thyroid storm (BWPS score 45). A bone marrow biopsy revealed hypoplasia of hematopoietic tissue. Key immunological tests were positive for antinuclear antibodies (≥1∶160) and anti-Sm antibodies, suggesting hematologic damage caused by DILE. After discontinuation of methimazole, aggressive antimicrobial therapy, administration of recombinant human granulocyte colony-stimulating factor (G-CSF), glucocorticoids, immunosuppressants, and subsequent I131 therapy, the patient′s infection was controlled. Complete blood count parameters gradually normalized. Thyroid function converted to subclinical hypothyroidism after I131 therapy and normalized with levothyroxine supplementation. DILE-related markers (antinuclear antibody titers) decreased, allowing for a reduction in glucocorticoid and immunosuppressive doses, and the patient′s condition remained stable.

Conclusions

Antithyroid drugs (e.g., methimazole) may trigger autoimmune responses, including DILE. In clinical practice, secondary immune abnormalities should be promptly screened during the diagnosis and treatment of hyperthyroidism with hematologic abnormalities to achieve early identification and intervention.

图1 毒性弥漫性甲状腺肿合并桥本甲状腺炎患者甲状腺超声图像注:a图示甲状腺实质回声弥漫性增粗减低;b图示甲状腺内部血流信号稍丰富(箭头所示)
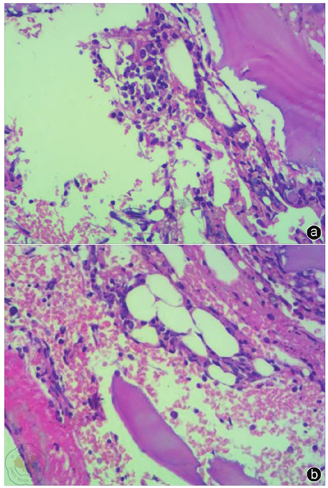
图2 毒性弥漫性甲状腺肿合并桥本甲状腺炎患者骨髓组织涂片注:大部分为脂肪组织,造血组织容量30%,脂肪组织70%,呈骨髓增生低下。造血组织粒、红系增生低下,两系以中、晚阶段细胞为主,散在或小堆可见。巨核细胞未见。淋巴细胞散在可见,偶见小堆,浆细胞散在可见。嗜酸性粒细胞散在可见。未见纤维化(HE 10×40)
[1]
Nakamura HMiyauchi AMiyawaki N,et al.Analysis of 754 cases of antithyroid drug-induced agranulocytosis over 30 years in Japan[J].J Clin Endocrinol Metab201398(12):4776-4783.DOI:10.1210/jc.2013-2569.
[2]
Cooper DS.Antithyroid drugs[J].N Engl J Med2005352(9):905-917.DOI:10.1056/NEJMra042972.
[3]
Burch HB, Wartofsky L. Life-threatening thyrotoxicosis. Thyroid storm[J].Endocrinol Metab Clin North Am199322(2):263-277.
[4]
Schopohl J.Thyreotoxische Krise:selten,aber lebensbedrohlich! Thyroid storm[J].MMW Fortschr Med2025167(7):52-53.DOI:10.1007/s15006-025-4836-4.
[5]
Radhi MANatesh BStimpson P,et al.Thyroid storm in head and neck emergency patients[J].J Clin Med20209(11):3548.DOI:10.3390/jcm9113548.
[6]
Banerjee AJamil AKhan EA.Severe neutropenia due to carbimazole and the importance of early recognition and management[J].Cureus202517(4):e81867.DOI:10.7759/cureus.81867.
[7]
Kaul AGordon CCrow MK,et al.Systemic lupus erythematosus[J].Nat Rev Dis Primers2016(2):16039.DOI:10.1038/nrdp.2016.39.
[8]
Scappaticcio LBellastella GMaiorino MI,et al.Graves′ hyperthyroidism-related pancytopenia:a case report with literature review[J].Hormones (Athens)202120(1):157-163.DOI:10.1007/s42000-020-00227-5.
[9]
Zeng ZTu WJi B,et al.IFN-α induced systemic lupus erythematosus complicated with hemophagocytic lymphohistiocytosis:a case report and literature review[J].Front Immunol2023(14):1223062.DOI:10.3389/fimmu.2023.1223062.
[10]
Beernaert LVanderhulst J.Antithyroid drug-induced lupus erythematosus and immunoglobulin a deficiency[J].Am J Case Rep2020(21):e927929.DOI:10.12659/AJCR.927929.
[11]
He YSawalha AH.Drug-induced lupus erythematosus:an update on drugs and mechanisms[J].Curr Opin Rheumatol201830(5):490-497.DOI:10.1097/BOR.0000000000000522.
[12]
Kumar TWhite AM.Diagnosis of Graves′ disease and methimazole-induced lupus erythematosus in an adolescent male during the COVID-19 Era:a case report[J].Cureus202416(6):e62023.DOI:10.7759/cureus.62023.
[13]
Deeb N, Deeb S, Badawi M, et al. Rapid-onset methimazole-induced lupus in a pediatric patient with Graves′ disease:a case report and review of the literature[J].Front Pediatr2025(13):1687328.DOI:10.3389/fped.2025.1687328.
[14]
Taylor PN, Albrecht D, Scholz A, et al. Global epidemiology of hyperthyroidism and hypothyroidism[J].Nat Rev Endocrinol201814(5):301-316.DOI:10.1038/nrendo.2018.18.
[15]
Wiersinga WMPoppe KGEffraimidis G.Hyperthyroidism:aetiology,pathogenesis,diagnosis,management,complications,and prognosis[J].Lancet Diabetes Endocrinol202311(4):282-298.DOI:10.1016/S2213-8587(23)00005-0.
[16]
马爽.Graves病与桥本氏甲状腺炎的彩色多普勒超声鉴别诊断分析[J].中国现代药物应用202418(10):91-94.DOI:10.14164/j.cnki.cn11-5581/r.2024.10.025.
[17]
许波进,彭文芳,黄珊.2022版《中国甲状腺功能亢进症和其他原因所致甲状腺毒症诊治指南》解读[J].外科理论与实践202328(6):512-519.DOI:10.16139/j.1007-9610.2023.06.05.
[18]
陈欣,冯四洲.《中国中性粒细胞缺乏伴发热患者抗菌药物临床应用指南(2020年版)》解读[J].临床药物治疗杂志202119(9):14-17.DOI:10.3969/j.issn.1672-3384.2021.09.003.
[19]
Lee SYPearce EN.Hyperthyroidism:a review[J].JAMA2023330(15):1472-1483.DOI:10.1001/jama.2023.19052.
[1] 黄鸿初, 黄美容, 温丽红. 血液系统恶性肿瘤患者化疗后粒细胞缺乏感染的危险因素和风险预测模型[J/OL]. 中华实验和临床感染病杂志(电子版), 2024, 18(05): 285-292.
[2] 董小荣, 马晓轩, 郑晓娟, 任巧兰, 金喜胜, 马莉. 以上消化道出血为首发表现的甲状腺危象合并Evans综合征一例并文献复习[J/OL]. 中华重症医学电子杂志, 2024, 10(03): 303-309.
[3] 刘亚君, 陈涛, 程丽婷, 熊雪, 王兴梅. 产后甲状腺危象:一例病例报告并文献回顾[J/OL]. 中华重症医学电子杂志, 2021, 07(04): 368-371.
[4] 李婧娴, 王燕婴, 李佼, 李利红. 非霍奇金B细胞淋巴瘤患者化疗后中性粒细胞缺乏相关危险因素及其与疗效的关系[J/OL]. 中华临床医师杂志(电子版), 2022, 16(10): 982-988.
[5] 周敬伟, 刘国莉. 妊娠期甲状腺危象的早期识别及诊治策略[J/OL]. 中华产科急救电子杂志, 2018, 07(02): 86-89.
[6] 孙伟杰, 高莹. 妊娠期甲亢危象处理[J/OL]. 中华产科急救电子杂志, 2017, 06(02): 73-78.
[7] 杨磊, 蔺莉. 妊娠期合并甲亢危象诊治[J/OL]. 中华产科急救电子杂志, 2016, 05(02): 107-109.
[8] 穆攀伟, 谭莺, 曾龙驿. 甲巯咪唑致胰岛素自身免疫综合征的诊断学特征分析[J/OL]. 中华诊断学电子杂志, 2018, 06(03): 198-201.
[9] 刘允刚, 邓玲慧, 朱麒, 王月, 陆文斌, 金建华. 恶性肿瘤化疗致中性粒细胞缺乏症治疗方案分析及疗效分析[J/OL]. 中华卫生应急电子杂志, 2017, 03(06): 348-352.
阅读次数
全文


摘要


AI


AI小编
你好!我是《中华医学电子期刊资源库》AI小编,有什么可以帮您的吗?