Abstract:
Objective To investigate the clinical utility of echocardiography in guiding the transcatheter aortic valve replacement (TAVR) procedure with the J-VALVE TF system for patients suffering from severe aortic insufficiency (AI), alongside a comprehensive summary of the diagnostic and therapeutic journey.
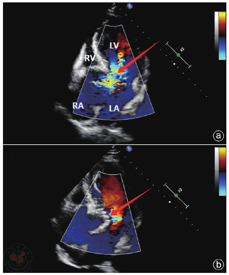
Methods The diagnosis and treatment data of one patient with severe AI admitted to the Air Force Medical Center on October 29, 2025, were retrospectively analyzed. Preoperative echocardiography was used to accurately assess valve structure (including number, morphology, echogenicity, etc.), the cause of regurgitation (including valve calcification, prolapse, perforation, annular dilatation, etc.) and its severity (including the ratio of regurgitant jet width to left ventricular outflow tract width, regurgitant area and length, Doppler spectra, etc.). Key aortic root dimensions were measured (including valve orifice area, aortic annulus, sinus of Valsalva, sinotubular junction, and ascending aortic diameters) to provide a basis for selecting the appropriate J-VALVE TF prosthesis size. Intraoperative ultrasound served as a real-time " navigation" system, guiding the entire process of device delivery and deployment, and providing immediate assessment of prosthesis position, function, and the presence of paravalvular leakage. Postoperative ultrasound served as the primary follow-up tool to evaluate prosthetic valve function and cardiac chamber reverse remodeling.
Results The patient experienced chest tightness and shortness of breath one year prior while lying flat at night. Symptoms could be induced by exertion or insomnia, lasted approximately one minute, and could be relieved by taking a deep breath. Echocardiography indicated: aortic developmental anomaly, aortic valve insufficiency with massive regurgitation, dilatation of the aortic sinus, and widening of the ascending aorta. Based on clinical presentation and echocardiographic findings, the patient underwent TAVR using the J-VALVE TF valve system. Intraoperative ultrasound provided real-time guidance during the delivery and deployment of the J-VALVE TF valve, monitoring the deployment process and the relative position of the delivery system. It was used to assess potential impacts on the mitral valve and coronary ostia before deployment and to evaluate prosthetic valve function after deployment. Postoperative assessment focused on the presence of paravalvular leakage, cardiac function, and the recovery of cardiac chamber geometry.
Conclusion Echocardiography provides critical diagnostic support and is indispensable for the successful implementation of J-VALVE TF valve implantation in patients with severe aortic regurgitation and complex anatomical features.
Key words:
J-VALVE TF transcatheter aortic valve system,
Transcatheter aortic valve replacement,
Echocardiography,
Aortic valve insufficiency,
Aortic stenosis
Sibo Yang, Yahui Sun, Shuping Liu, Haitao Zhang, Jinjin Sun, Li Li. Perioperative ultrasound evaluation of one case of severe aortic regurgitation treated by the J-VALVE TF system[J]. Chinese Journal of Diagnostics(Electronic Edition), 2026, 14(01): 44-48.